首页
关于美尚
企业介绍
发展历程
荣誉资质
企业文化
产品中心
种植
数字化
无牙颔
全瓷
正畸
美学
椅旁
最新资讯
行业动态
公司新闻
客户案例
数字中心
病历分享
美尚大学
大学介绍
内部培训
医技交流
联系我们
客户案例
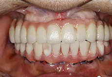
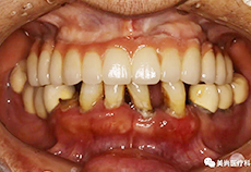
治疗前:下颌牙缺失
治疗前CT照
治疗过程:导板引导下下颌外科手术植入6颗种植体
治疗过程:植入6颗种植体
治疗完成
种植牙
DENTAL IMPLANT
查看更多
美尚数字化种植修复整体解决方案
美尚(广州)医疗科技有限公司,是集口腔医学、个性化美齿制作、数字化设计、培训教育、器材贸易等为一体的口腔医疗创新型科技企业,主要致力于口腔修复相关产品的研发、设计、制作、培训与销售!美尚坚持理想和信念,只做精品和高端,为客户需求和员工幸福,尚无止境地努力奋斗!
100000
+
服务患者
50000
+
服务患者
5000
+
无牙颌修复
合作品牌
美尚(广州)医疗科技有限公司
MeiShang (GuangZhou) Medical Technology Co., Ltd.
客服热线:86-020-3732 4530
Customer Service Hotline: 86-020-37324530
地址:广州市白云区盈通商务写字楼D6栋223B
Address: Building D6, Yingtong Business Office Building, Baiyun District, Guangzhou
版权所有 © 2020 美尚(广州)医疗科技有限公司
粤ICP备2020138767号
技术支持:小狐科技
本站使用
百度智能门户
搭建
管理登录