发表时间 :2021-03-15

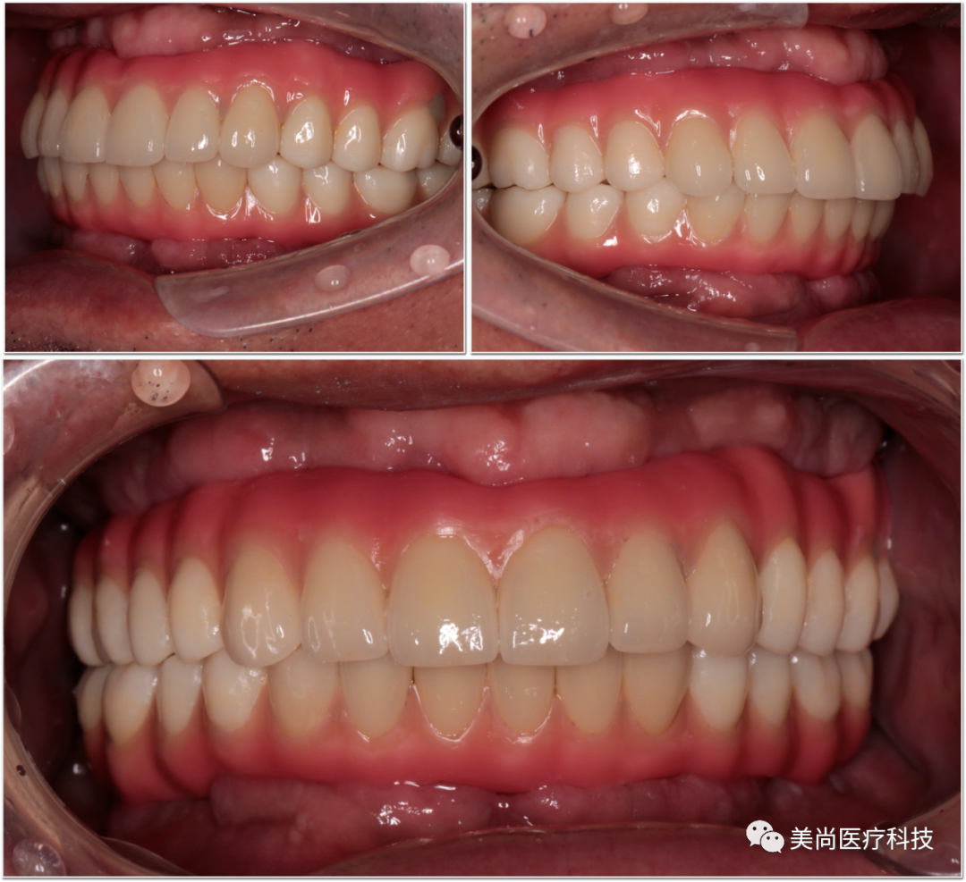
只有良好的医技配合最大限度地发挥医生与技师的能力,帮助患者达到最为满意的修复效果,才能使一个复杂的全口种植即刻修复过程具有可控性。那么什么样的医技配合才能称得上完美?那就是医生、技师共同参与完成从术前设计、手术过程、最终修复体制作整个修复过程。美尚医疗科技专注数字化种植修复解决方案,为口腔种植医师提供专业的技师技术支持服务,帮助医师专业化、规范化、数字化的实现口腔种植数字化修复,满足医师和患者的需求,实现美学、功能等的修复目标!
病例介绍
姓名:XX先生
年龄:60
主诉:全口多个牙齿缺失十余年,曾做过活动义齿修复,但觉得不舒服,一直未佩戴,近半年来已基本无法咀嚼,现来我院了解种植修复。
即往史:糖尿病史,一直服药控制,平时自己监控空腹血糖约7~10mmol/L。
口腔卫生习惯较差,喜欢吃硬物;吸烟,每天1-2包(戒不了)
口内检查情况
▲口内余留21,22,23,42,43,44,其余牙齿缺失,牙齿缺失区牙槽嵴明显萎缩
▲口腔卫生环境差,余牙II度~III度松动
▲咬合关系丧失,下颌习惯性前伸
▲双侧颞下颌关节弹响,髁突运动轨迹不一致


术前X-ray


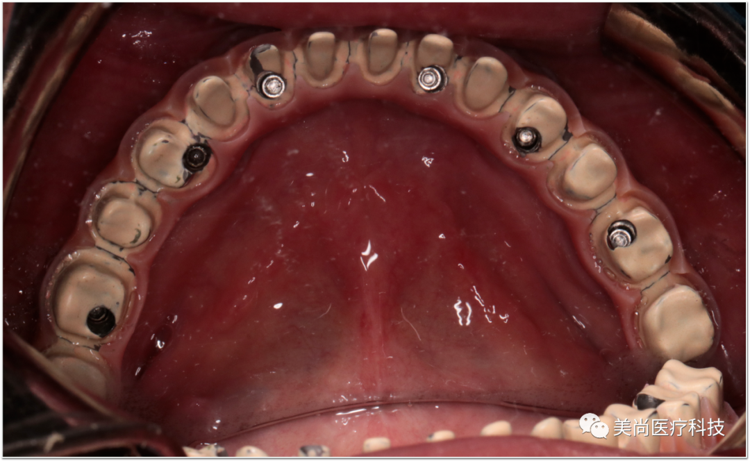
制作种植导板














