员工培训

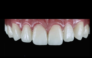
美尚医疗科技的技师们美学敏感度时刻在线,通过学习提升自己的欲望也是非常强烈。美尚科技对于员工的学习培养从来都是鼓励与支持,近期,美尚大学堂关于美学修复班强势开展三天的脱产学习。美尚的技师们也如期交出满意的答卷,让我们一同目睹美尚美学中心技师们学习的风采吧。 课程分理论知识及实操2部分,实行小班授课方式,使得每个技师都能更好得到学习指点。

STAFF TRAINING

美尚大学堂关于美学修复班强势开展三天的脱产学习。
为了让新入职员工更深刻地了解公司企业文化及规章制度,更快更好地融入工作环境,掌握专业技术知识和技能,更快适应工作岗位,增强对企业的归宿感与责任感,美尚为员工提供了新员工系列培训成长计划,量身定做多种职业发展规划,根据个人进行针对性的专业指导,最大程度的帮助员工提升自我,不仅是工作上的提升,同时也帮助员工指明了个人生活及未来的发展道路!
开课的前一天,培训老师就已经在美尚大学堂做好课堂准备,此次的课程分理论知识及实操2部分,实行小班授课方式,使得每个技师都能更好得到学习指点。
总经理介绍——《美尚企业价值观》。企业五大核心价值观 / 美尚愿景 / 美尚使命
业务部经理培训——《口腔基础知识》。美尚价值观之“信任”关系
美学设计部长培训——《5S及安全生产管理》。整理 / 整顿 / 清扫 / 清洁 / 素养
理论part,老师依次讲解产品的材料、性能、使用方法、步骤。
参与培训的同学正在老师的指导下进行实操制作。
培训课现场,同学们正在认真实操。
品牌研发部经理培训——《美尚内部沟通法宝》。美尚价值观之“进步”精神
美学形态部长培训——《商务礼仪》。美尚信任的13种行为
品管部经理培训——《美尚产品介绍及出货标准》。美尚价值观之“匠心”精神
本站使用百度智能门户搭建 管理登录