发表时间 :2021-03-12

下颌种植修复体即刻负荷方案描述的是种植体植入1周之内,将临时固定修复体连接于种植体上,并行使咬合功能。在下颌牙列缺失,借助临时固定修复体进行种植体即刻负荷,可以获得成功的骨结合。

就种植/修复设计而言,4颗种植体植入即刻负荷虽然也获得临床文献的证实,但相对而言,5-6颗种植体要优于4颗种植体,种植体数量少时采用即刻负荷方案,将危及固定修复体的稳定性。和其他即刻负荷一样,下颌种植修复体即刻负荷方案的前提条件包括:标准种植体,初始稳定性,种植位点的骨量充足。当种植/修复设计师种植体分布于下颌前牙区时,即刻临时修复体应当避免远中悬臂,此时,应仔细评估功能和美学参数。

(摘自ITI口腔种植临床指南第四卷)
美尚即刻负荷病例分享
患者姓名:
XX女士
患者年龄:
70岁
患者主诉:
上颌烤瓷连桥松动不能咬物。
现病史:
患者自诉上颌烤瓷连桥松动;
下颌活动义齿松动无法固位咀嚼困难,要求修复。
既往史:
既往体健,否认过敏病史。
临床检查:
上颌可见烤瓷连桥修复Ⅲ°松动,牙龈微红肿;
下颌无牙颌附着龈狭窄仅1mm,牙槽嵴呈刀刃状;
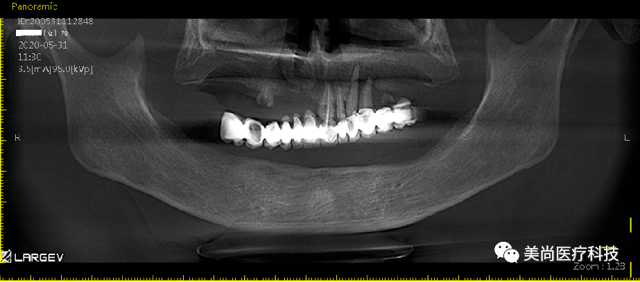
32、42可用骨宽度6mm,可用骨高度10mm;
34、44可用骨宽度6mm,可用骨高度11.5mm。
临床诊断:
牙列缺损;
21、22、23残冠;
14、25残根。


治疗方案:
1、拔除14、25,23根管治疗后调磨至平龈;
2、上颌美尚活动义齿修复;
3、下颌美尚数字导板下种植4颗,即刻负荷3-4月永久修复。

制作活动义齿


制作导板,导板引导下植入种植体



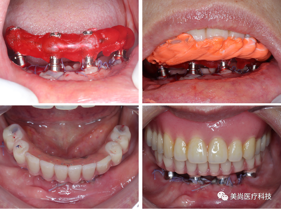
导板下植入植体:
在32、42处植入3.5*10mm植体各一颗,植入扭矩约35n.cm;
在34、44处植入4.0*11.5mm植体各一颗,植入扭矩约40n.cm。
取模即刻负荷戴牙



永久修复



戴牙完成