发表时间 :2021-03-23

随着数字化的全面到来,口腔修复患者的个人主张也慢慢成为了义齿修复中的重要部分。患者、医生、技师之间的联系也慢慢紧密起来,成为了缺一不可的搭档和合作伙伴。医患的需求,通过技师的手来实现1+1大于2的模式,也成为了美学修复体在患者端最终的呈现方式。
患者信息:
女,45岁
主诉要求:
客户在隐形矫正术后,要求修复左侧门牙缺损部位,对牙齿美白程度没过多要求。
设计方案:
术前影像数据发现客户左侧侧切牙因发育问题导致比右侧小,并由此制定DSD方案。建议客户进行21、22贴面修复,目的为恢复崩缺中切牙及发育不良侧切牙。
贴面:
酸蚀、硅烷化。
牙齿:
贴面试戴、橡皮障下喷砂、酸蚀、义获嘉Variolik N Transparent(透明色)粘接。
总结:
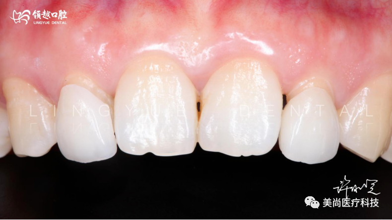
贴面采用抛光后上釉,纹理与邻牙对比过于光滑,色彩由于邻牙脱水术后即刻反差较大,1天后逐渐恢复正常。
修复前照:

DSD美学比例:

比修复颜色:

贴面牙体预备:

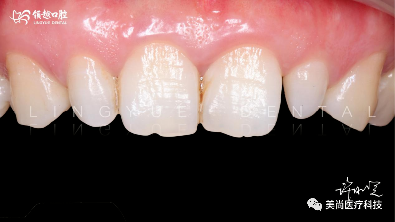
美尚贴面制作完成:

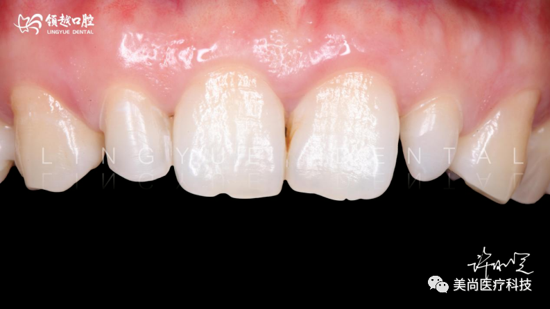
戴牙术后照:




患者信息:
女,50岁
主诉要求:
双侧前牙分别有一个过小牙,要求修复协调。
设计方案:
12、22唇面与邻牙平面相等齐,没有过多修复空间,因此排除超薄贴面修复方式,采用备除唇面0.8mm釉质层,设计龈上肩台利于自洁。
贴面:
酸蚀、硅烷化。
牙齿:
贴面试戴、橡皮障下喷砂、酸蚀、义获嘉Variolik N Transparent(透明色)粘接。
总结:
贴面预备邻面位置需要向舌侧备出凹陷的“狗腿状”,有利于贴面修复时减少与基牙邻面的颜色落差,更利于色彩统一。此贴面采用高度抛光方式,更清晰模仿出牙齿纹理。粘接后肩台与贴面衔接处也需要高度抛光。
术前照:

贴面牙体预备:

修复比色:

美尚贴面试戴:

戴牙后效果:


以上病例来源于广州领越口腔许晓昱医生

美尚高级技师李志勇
美尚科技携手广州领越口腔打造您的美丽!

美尚科技美学技师一站式服务。从来货到出货,全由美学技师独立完成,除了前牙美学修复以外,还可以配合医生,对颜色特殊的患者进行全程跟进,帮助医生快速的解决疑难杂质,客户的超高体验感及满意度是我们孜孜不倦的追求。